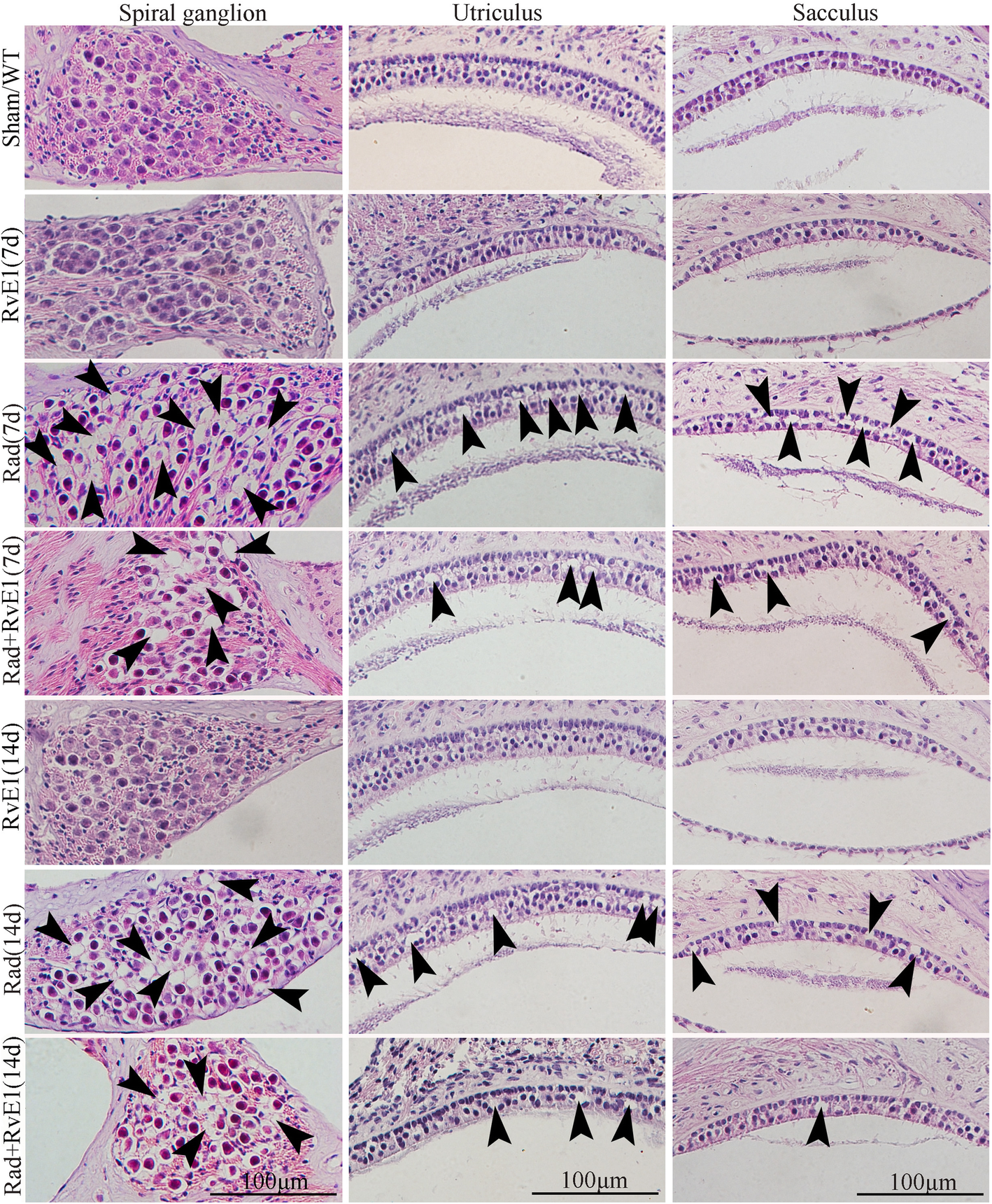
Fig. 5

Hematoxylin-eosin staining showed changes to the spiral ganglion cells and hair cells of the utriculus and sacculus after irradiation and resolvin E1-pretreatment. The arrows indicate the points of the loss of spiral ganglion cells and utriculus and sacculus hair cells, and the number of arrows represents the frequency of damage, which could be observed on days 7 and 14 after irradiation. Meanwhile, pretreatment with resolvin E1 mitigated the damage. The loss of utriculus and sacculus hair cells represents that of vestibular hair cells